Caricamento...

Io Benessere Blog Logo Io Benessere Blog

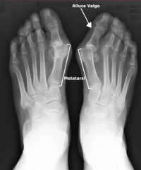
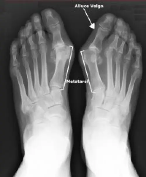
Sintomi alluce valgo e cura: operazione per alluce valgo (piede). Nuovo intervento chirurgico

26/09/2012

Sintomi alluce valgo e cura: operazione per alluce valgo (piede). Nuovo intervento chirurgico
Per l' alluce valgo c'è un nuovo intervento mininvasivo che non è doloroso e ha tempi di recupero rapidi. Fattori costituzionali, tacchi alti e scarpe strette sono le principali cause dell' alluce valgo, un problema di cui soffrono soprattutto le donne. L' alluce valgo peggiora con il passare degli anni, diventa una malattia più dolorosa e altera la qualità della vita. Oggi però è possibile affrontare e risolvere questo problema grazie alla chirurgia mininvasiva, con un intervento superveloce e radicalmente diverso da quello di un tempo. L' intervento chirurgico, oltre a correggere l' alluce valgo, restituisce una linea naturale ai piedi. Agendo anche sulla loro struttura interna, ripristina quella geometria del corpo che era stata alterata: dalla mobilità delle dita e dal corretto appoggio del piede a terra, deriva infatti la capacità di sorreggere correttamente tutto il corpo. E questo giova a tutte le articolazioni, dal piede in sù. L' alluce valgo può alterare il modo di camminare, ripercuotersi sulla postura e provocare dolori a ginocchia, anche e colonna vertebrale.

Operazione per alluce valgo: chirurgia percutanea

Questa nuova tecnica non prevede le incisioni della chirurgia tradizionale, ma solo tre piccoli forellini sulla pelle. Vengono praticati dopo l' anestesia locale che addormenta il piede. Poi, attraverso i forellini, il chirurgo introduce strumenti miniaturizzati (lame o piccole frese di varia forma) e, sotto controllo radiologico, li manovra per rimodellare e riallineare le strutture del piede. Dapprima il chirurgo elimina la sporgenza (la tanto odiata "cipolla") e poi agisce sui tendini e sulla capsula che trattengono il dito. Infine il chirurgo corregge le ossa dell' alluce, riportandolo nella sua posizione anatomica. Se è necessario, con la stessa tecnica e nella stessa seduta, è possibile correggere la forma a martello del secondo e terzo dito del piede che spesso si associano all' alluce valgo. Infine viene effettuata una fasciatura che, come un tirante, mantiene il primo dito nella sua nuova posizione. L' intervento dura 30 minuti, si ritorna a casa spesso in giornata o dopo una sola notte di ricovero.

Intervento ideale per le forme lievi e moderate di alluce valgo

Questo tipo di intervento chirurgico è ideale per le forme lievi e moderate di alluce valgo, quando la deviazione non supera precisi valori angolari (non più di 20° tra gli assi del primo e secondo metatarso, cioè le ossa che precedono le dita). Questo significa che la chirurgia soft va bene quando è ancora possibile riallineare manualmente l 'alluce. Comunque, prima di ricorrervi, è necessario fare una radiografia del piede, effettuata in posizione eretta: solo così è possibile valutare bene quali sono le alterazioni strutturali che lo scheletro del piede ha subito a causa della deformità dell' alluce, e sapere con certezza se la via percutanea è quella giusta. E, in tal caso, si possono operare entrambi i piedi con un unico intervento.

Recuperi brevi nel postoperatorio

Con questo nuovo intevento chirurgico, i tempi di recupero sono dimezzati, non resta alcuna cicatrice vistosa e il dolore postoperatorio è molto meno intenso. Il fastidio viene perfettamente tenuto a bada con gli analgesici, somministrati ancor prima che passi l' anestesia. Lo stesso giorno dell' intervento si può poggiare il piede a terra, con l' aiuto di uno scarpone apposito. Si possono compiere brevi spostamenti: muoversi da una stanza all' altra o andare in bagno. Non servono stampelle, ma nella prima settimana è consigliabile stare a riposo. Inoltre, quando si sta seduti, occorre tenere il piede sollevato su una sedia (o un puff) per evitare che la zona si gonfi. Stessa accortezza nel sonno, durante il quale il piede va appoggiato sopra un paio di cuscini. La seconda settimana viene fissato il primo controllo: medicazione e fasciatura vengono sostituite. Il piede va tenuto a riposo, ma ci si può muovere più liberamente fuori casa per brevi percorsi, calzando ancora lo scarpone aperto ed evitando di rimanere a lungo in piedi. Dopo 15 giorni, chi fa un lavoro sedentario può ritornare in ufficio, ma il bendaggio viene rimosso solo al termine della terza settimana. A quel punto, si possono rimettere le scarpe: comode, con punta larga e tacco basso. A un mese dall' intervento si può camminare senza limitazioni, guidare l' auto e indossare scarpe con un tacco medio. E dopo tre mesi, libertà totale. Fare ginnastica riduce il gonfiore al piede e alla caviglia. Sin dal giorno successivo all' intervento, si raccomanda di effettuare rotazioni della caviglia o di estendere e flettere il collo del piede, spingendo la punta verso il basso e verso l'alto. Dopo un paio di settimane si può iniziare a mobilizzare l'alluce: va afferrato alla base con le dita e flesso delicatamente verso l'alto e verso il basso, senza però raggiungere mai la soglia del dolore.

Quando è necessario l' intervento chirurgico per l' alluce valgo

Anche se l' intervento chirurgico per via percutanea è meno invasivo di quello tradizionale, è normale chiedersi fino a quando è possibile convivere con la "cipolla" e l' alluce valgo, e quando invece non si può più rimandare l' intervento chirurgico. Ecco dei consigli utili:
  • si può aspettare di eseguire l' intervento chirurgico quando l' alluce valgo non provoca dolore, non limita la deambulazione e non è associato alle dita a martello. In questi casi basta cercare di rallentare la deviazione dell' alluce, riservando le calzature da "femme fatale" ai momenti speciali e privilegiando per tutti i giorni scarpe comode, a pianta larga e con un tacco che non superi i cinque centimetri;
  • eventualmente si può ricorrere a un plantare personalizzato che sostiene l' arco del piede e aiuta a distribuire meglio il carico del corpo. Sono invece inutili e fastidiosi i divaricatori da indossare la notte che promettono di rimettere "in linea" l'alluce: la sua deviazione non è reversibile;
  • l' intervento chirurgico va fatto quando l' alluce valgo fa male, provoca dolore alla pianta del piede e camminare diventa un supplizio. Il dolore anche a riposo è la spia che il problema sta alterando gradualmente tutto l' assetto dell' avampiede. L' intervento chirurgico va fatto anche quando non c'è dolore e la "cipolla" è piccola, ma l' alluce è cosi deviato all' interno che spinge le altre dita a retrarsi in alto, disegnando la posizione a "griffe" o a "martello".

Centri medici in Italia per l' intervento dell' alluce valgo

In questi centri medici specializzati si può effettuare l' intervento chirurgico per l' alluce valgo col Servizio Sanitario Nazionale (privatamente invece l' intervento costa circa 5000 euro). PADOVA: Policlinico di Abano Terme TORINO: Ospedale Molinette MILANO: Casa di Cura San Pio X di Milano; Ospedale Niguarda; Istituto Clinico Humanitas; ClinicA S. Giovanni ROMA: Ospedale San Carlo di Nancy BOLOGNA: Istituto Ortopedico Rizzoli CESENA: Clinica Malatesta Novello RIMINI: Casa di Cura Villa Maria; Casa di Cura Montanari (Mordano di Romagna). FIRENZE: Casa di Cura Val di Sieve (Pontassieve) SIENA: Casa di Cura Rugani PERUGIA: Ospedale Silvestini L' AQUILA: Ospedale San Salvatore NAPOLI: Ospedale San Paolo BARI: Azienda Ospedaliera Policlinico Consorziale TRAPANI: Ospedale Sant' Antonio