Sintomi Malattie e Cura
Sintomi cataratta occhio: vista annebbiata. Cura cataratta: intervento chirurgico sicuro
Redazione - 19 Oct 2012
Sintomi glaucoma occhio: diagnosi-cura. Pressione all' interno dell' occhio e spessore cornea
Redazione - 18 Oct 2012
Sintomi tumore ovaio donna: ecografia+cura tumore ovaio. Tumore seno e tumore ovaie
Redazione - 17 Oct 2012
Contagio tubercolosi: sintomi, diagnosi e cura tubercolosi. Malattie Infettive
Redazione - 16 Oct 2012
Cura tumore e omeopatia contro effetti collaterali di chemioterapia, radioterapia e farmaci
Redazione - 04 Oct 2012
Numero verde gratuito malattie ematologiche: leucemia, emofilia, emorragie, coagulazione sangue
Redazione - 02 Oct 2012
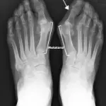
Sintomi alluce valgo e cura: operazione per alluce valgo (piede). Nuovo intervento chirurgico
Redazione - 26 Sep 2012
Nuovo test sindrome Down gravidanza: esame del sangue senza amniocentesi
Redazione - 17 Sep 2012